mTOR, PTEN, PI3 Kinase p110α antibodies and ELISA kits for your research
View in browser
Image of Cell Signaling Technology logo
Warburg effect pathway diagram

Metabolic Rewiring in Cancer: Key Pathways

Cancer cells reprogram their metabolism to fuel growth and survival, exploiting pathways like glycolysis, glutamine metabolism, and lipid signaling. Read the blog to explore key metabolic pathways in cancer including the Warburg effect, AMPK, and mTOR signaling.

    Read the Blog

    Autophagy Pathway Diagram

     

    Explore the autophagy signaling pathway to visualize key regulators, interactions, and mechanisms driving cellular self-digestion and homeostasis.

    Detailed diagram showing the autophagy signaling pathway
    Download Pathway

    You might be interested in...

    Immunofluorescence analysis using mTOR antibody.
    Recombinant

    mTOR (7C10) Rabbit mAb #2983

    Citations: 3,174

    Western blot analysis of extracts from various cell lines using PI3 Kinase p110α antibody.
    Recombinant

    P13 Kinase p110α (C73F8) Rabbit mAb #4249

    Citations: 832

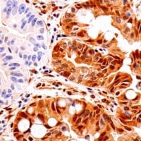
    Immunohistochemical analysis of paraffin-embedded human esophageal adenocarcinoma using PTEN antibody.
    Recombinant

    PTEN (138G6) Rabbit mAb #9559

    Citations: 865

    Image depicts vial with text stating CST offers over 4,000 T-size Antibodies. Click to Browse T-Size.
    Image depicts vial with text stating CST offers over 4,000 T-size Antibodies. Click to Browse T-Size.

    Fast-Track Your Discovery with Antibody Sampler Kits

    Western blot analysis of extracts from various cell lines using mTOR monoclonal antibody.

    mTOR Substrates Antibody Sampler Kit #9862

    Western blot analysis of extracts from various cell lines, using Rictor monoclonal antibody.

    mTOR Pathway Antibody Samper Kit #9964

    Four Western blot images detailing the analysis of untreated cells or cells treated with AICAR or oligomycin using Phospho-Raptor (Ser792) antibody or Raptor Antibody.

    mTOR Regulation Antibody Sampler Kit #9864

    Brand icon technical support

    Scientific Support, When You Need It Most

    If your experiment doesn’t go as planned, we are here to help. Visit the Support Center for expert advice from the CST scientists who developed your antibodies. 

    GET SUPPORT
    Swoosh-CSTBlue-top-SterlingBlue-bottom

    PRODUCTS     |     PATHWAYS     |     SUPPORT

    How was this email?

    Icon of a thumb pointing up. Icon of a thumb pointing down.

    For Research Use Only. Not for Use in Diagnostic Procedures.

    © 2025 Cell Signaling Technology, 3 Trask Lane, Danvers, MA, 01923, United States. All Rights Reserved.

    You received this email because you are subscribed to receive emails from Cell Signaling Technology.

    Manage your subscription preferences to choose the types of emails you receive.

    Unsubscribe from all future emails.