Decode cell death pathways and explore differences between apoptosis, necroptosis, pyroptosis, ferroptosis, & NETosis
View in browser
Image of Cell Signaling Technology logo
Text reads The Researcher's Guide to Mechanisms of Cell Death.

Master Mechanisms of Cell Death

Cell death is more complex than the simple loss of cellular life. Many intricate pathways are triggered under different circumstances to activate regulated cell death. To identify the activation of each molecular pathway and analyze crosstalk between them, it’s crucial to break down the characteristics of each type of cell death.

 

Dive into this eBook and learn to identify the differences between the processes of apoptosis and regulated necrotic cell death pathways, such as necroptosis, pyroptosis, ferroptosis, and NETosis.

    Download eBook
    Image depicts vial with text stating CST offers over 4,000 T-size Antibodies. Click to Browse T-Size.

    Key Cell Death Targets for Your Research

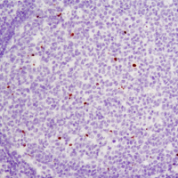
    Immunohistochemical analysis of paraffin-embedded human tonsil using Cleaved PARP (Asp214) antibody.

    Cleaved PARP (Asp214) (D64E10) XP® Rabbit mAb #5625

    Citations: 1,838

    Immunoprecipitation of Cleaved Caspase-9 (Asp315) protein from Jurkat + Etoposide #2200 cell extracts. Lane 1 is 10% input, lane 2 is Rabbit (DA1E) mAb IgG XP® Isotype Control #3900, and lane 3 is Cleaved Caspase-9 (Asp315) (D8I9E) Rabbit mAb. Western blot analysis was performed using Cleaved Caspase-9 (Asp315) (D8I9E) Rabbit mAb. Mouse Anti-rabbit IgG (Conformation Specific) (L27A9) mAb #3678 was used as a secondary antibody.

    Apoptosis Antibody

    Sampler Kit II #34811

    Confocal immunofluorescent analysis of Raw 264.7 cells, treated with TNF-α and Cycloheximide, using Cleaved Caspase-8 (Asp387) (D5B2) XP® Rabbit mAb  and DRAQ5® #4084 (fluorescent DNA dye).

    Cleaved Caspase-8  (Asp387)(D5B2) XP® Rabbit mAb #8592

    Citations: 380

    Image depicts vial with text stating CST offers over 4,000 T-size Antibodies. Click to Browse T-Size.
    Brand icon technical support

    Scientific Support, When You Need It Most

    If your experiment doesn’t go as planned, we are here to help. Visit the Support Center for expert advice from the CST scientists who developed your antibodies. 

    Get Support
    Swoosh-CSTBlue-top-SterlingBlue-bottom

    PRODUCTS     |     PATHWAYS     |     SUPPORT

    How was this email?

    Icon of a thumb pointing up. Icon of a thumb pointing down.

    For Research Use Only. Not for Use in Diagnostic Procedures.

    © 2025 Cell Signaling Technology, 3 Trask Lane, Danvers, MA, 01923, United States. All Rights Reserved.

    You received this email because you are subscribed to receive emails from Cell Signaling Technology.

    Manage your subscription preferences to choose the types of emails you receive.

    Unsubscribe from all future emails.